Our Services

Dental Procedures Offered

Sapon & Swisher Dentistry offers a full array of dental services to help you maintain healthy teeth. You can read more on this page about specific services.

  • Dental Prophylaxis
  • Crowns and Bridges
  • Fillings
  • Cosmetic Dentistry
  • Implants
  • Veneers
  • Whitening
  • Sealants
  • Root Canal Therapy
  • Extractions
  • Dentures, Partial Dentures
  • Scaling and Root Planing
  • Clear Aligner Orthodontic Treatment - Invisalign and Suresmile 
  • Botox - TMJ therapeutic treatment
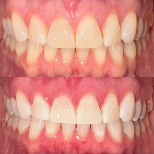
1

Before/After In-Office Bleaching

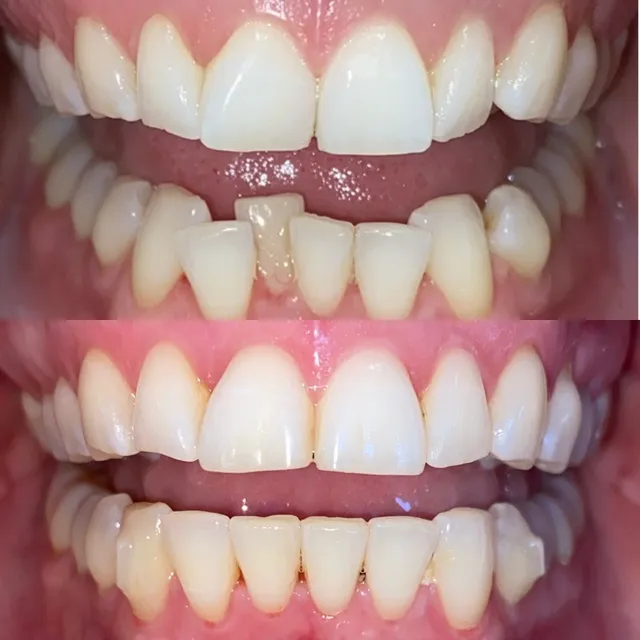
2

Before/After Clear Aligner Orthodontic Treatment

 


Intraoral Photography - The camera allows the patient to be completely informed of their treatment because the patient can see every detail.

 

Digital Panoramic Radiographic Imaging - The Pano produces the lowest radiation dose and best image quality.

 

Digital Intraoral Radiographic Imaging - These digital x-rays require a very low dose of radiation compared to traditional x-ray film.

 

 Initial Oral Examination 
Your initial oral examination includes a visual examination, charting, periodontal probing, diagnosis and treatment recommendations. We will also take x-rays, which includes the panoramic x-ray for proper diagnosis of the anterior (front) and posterior (back) teeth as well as the bite-wing x-ray series for proper diagnosis of proximal decay of posterior teeth.

Implants 
Implants are synthetic structures that are placed in the area of the tooth normally occupied by the root. Implants are anchored to the jawbone or metal framework on the bone and act as a foundation for an artificial tooth or permanent bridge. In some cases, implants can be used to attach dentures. Read More...

Veneers 
Veneers are thin pieces of porcelain or plastic cemented over the front of your teeth to change their color or shape. Veneers are used on teeth with uneven surfaces or are chipped, discolored, oddly shaped, unevenly spaced or crooked. Read More...

Crowns and Bridges 
Crowns are synthetic caps, usually made of a material like porcelain, placed on the top of a tooth. Crowns are typically used to restore a tooth's function and appearance following a restorative procedure such as a root canal. When decay in a tooth has become so advanced that large portions of the tooth must be removed, crowns are often used to restore the tooth. Read More...

Teeth Whitening 
Whitening procedures have effectively restored the smile of people with stained, dull, or discolored teeth.The darker tissue of your teeth, the dentin, can become exposed as the outer layer of enamel is worn away by the effects of aging or things like caffeine and tobacco. Read More...

Clear Aligner Orthodontic Treatment - Suresmile® 
Suresmile's® invisible, removable, and comfortable aligners will give you the beautiful straight teeth you've always wanted. And best of all, no one can tell you're wearing them. Clear aligner orthodontic treatment is great for adults and teenagers. Read More...

Root Canal Therapy 
Root canals are tiny passageways that branch off from beneath the top of the tooth, coursing their way vertically downward, until they reach the tip of the root. Read More...

Toothaches 
Simple toothaches can often be relieved by rinsing the mouth to clear it of debris and other matter. Sometimes, a toothache can be caused or aggravated by a piece of debris lodged between the tooth and another tooth. Avoid placing an aspirin between your tooth and gum to relieve pain, because the dissolving aspirin can actually harm your gum tissue. Read More...

Dental Emergencies 
Our goal is to help you to minimize the risk of emergency treatment. This is why we commit a generous amont of time designing a Lifetime Treatment Plan that will help you to offset the possibility of unforseen pain or tooth breakage. Read More...


Dental Product Recommendations

Below is a list of products we recommend for your at-home dental hygiene routine!

  • Toothbrush: Sonicare Electric Toothbrush
  • Floss: Listerine Ultraclean
  • Interproximal cleaners: Gum Piks, Water Flosser (Waterpik cordless model is a staff favorite!)
  • Mouthrinse: Therabreath (for dry mouth), Biotene (dry mouth), ACT (for extra fluoride protection)
  • Toothpaste: Arm & Hammer (for stain protection), Sensodyne (for cold sensitivity), Paradontax (gum health)
  • Fluoride-Alternatives: Boka Toothpaste (variety of flavors for kids and adults), Bite Toothpaste Tablets (eco friendly with sustainable packaging)
  • Dry Mouth products: Xylitol mints/lozenges, Xylimelts, AllDay Spray or Gel, Biotene Spray
  • Gum: Icebreakers ice cubes, Mentos gum

 


 




Contact Us